產品簡介
即將下架,替代產品為:A092
2×Multiplex PCR StarMix 是基于熱啟動抗干擾 Taq DNA 聚合酶開發的即用型多重 PCR 預混試劑。本產品具有極高的擴增效率和檢測靈敏度;多重 PCR 擴增偏好性低,在獲得極高產量的同時保持多重擴增均一性。本產品適用于以 DNA 為模板的多重 PCR 擴增、病原體的檢測和分型、分子雜交檢測等。
本品為無色 2× 預混液,不含 DNA 上樣緩沖液和染料。在多重 PCR 反應完成后,需添加 DNA 上樣緩沖液后進行電泳。
產品組分
| 組分貨號 | 組分名稱 | A099-01 | A099-10 |
|---|---|---|---|
| ZA099-101 | 2×Multiplex PCR StarMix | 1 ml | 1 ml×10 |
| ZA129-101 | Sterile Water | 1 ml | 1 ml×10 |
保存條件
-20℃ 保存,保質期 24 個月,避免反復凍融。
數據展示
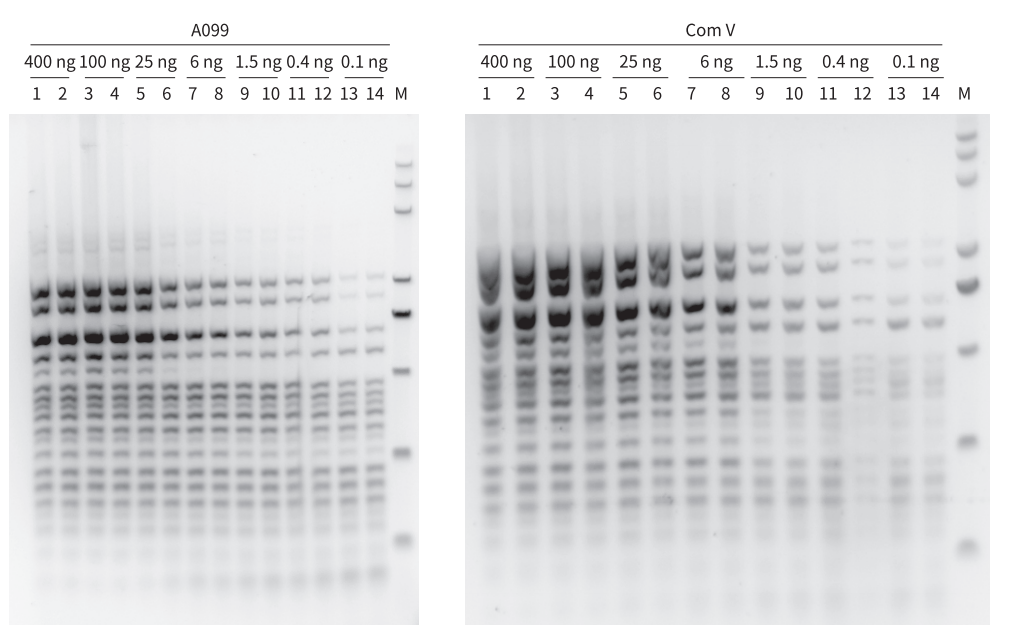
1.優異的靈敏度
以 Human 基因組為模板,同時擴增 19 個目的片段。結果顯示,A099 最低檢測限可達 0.1 ng,不會出現條帶丟失且條帶清晰優于 Com V

2.超高的擴增效率
以 Human 基因組為模板,擴增 2~19 重目的片段(50-1028 bp)。結果顯示,所有目的片段都清晰可見,A099 可在同一反應中擴增多達 19 個目的片段,且擴增效率和條帶清晰度均優于 Com V

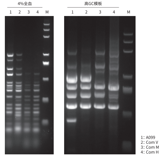
3.兼容全血直擴和高 GC 模板

相關產品推薦
請按照實際實驗情況進行使用,如有疑問,請聯系您的業務員或致電技術支持熱線400-666-3332撥2